Age-related macular degeneration (ARMD) is the leading cause of severe visual loss in older people, indeed it is the main cause of central vision loss (blindness) in the USA today for those over the age of fifty; (Source: American Academy of Ophthalmology).
Macular degeneration is a condition whereby the light sensing cells in the eye’s macula malfunction and eventually they cease to work. Often individuals with macular degeneration will notice that straight lines, such as poles, walls or wires appear to be wavy; other symptoms can include blurred text, often with dark or even empty spaces that may block the center of the field of vision.
Fortunately, macular degeneration rarely results in complete blindness since side vision is usually unaffected, but even so because of its propensity, it has been estimated that more than a million people worldwide are completely blind because of advanced ARMD!
ARMD makes activities that require sharp vision such as reading or driving very difficult. A test to determine the presence of ARMD uses something called an Asmler grid. This involves starring at a center dot to see if the lines around it are affected by blurriness, waviness or even are out of vision altogether. You can test yourself by following this link. To take this test you will require the freely available Adobe PDF reader available here.
ARMD background
It is not clear how or why ARMD is triggered, although the main focus has been on the hardening of arteries that supply the retina at the back of the eye. Over time this deprives the tissues of oxygen and other nutrients that help it to protect itself and to thrive, the consequence of which is a gradual deterioration of vision.
The central part of the retina contains a yellow pigment called macular pigment, this helps to protect the receptors in the retina from sunlight, especially from the harmful effects of blue light. The lessening of the density of this protective pigment can be linked to poor diet and in those who smoke, thus its protection from free radical damage and its enrichment are also seen as a key to ARMD.
Physicians classify ARMD into two parts, namely wet and dry.
The wet form affects about 15% of patients with ARMD. This form differs from the dry type in that there is a growth of abnormal blood vessels under the retina. This can lead to bleeding and scarring and results in a more rapid and severe progression of the disease (when compared to the dry form). Luckily for about 70% of patients with the wet form of ARMD they can be treated with laser photocoagulation to help stabilize the vision, or to limit the growth of further abnormal blood vessels.
So whilst the dry form affects 85% of patients with ARMD and thankfully is less progressive and not as severe as the wet form, unfortunately to-date there have been no successfully reported treatments in regard to the reversal of this condition.
Presently most treatments for all ARMD’s have relied heavily upon supplementing with nutritional elements, particularly lutein and zeaxanthin to alleviate, slow down and sometimes halt its progression.
A breakthrough for ARMD
Now a new study; (Changxian Yi et al, effects of melatonin in age-related macular degeneration, Ann NY Acad Sci, 1057:384-392) gives hope to millions with ARMD.
Dr. Changxian Yi studied 100 patients over a period of 2-years to see if treatment with tablets of Melatonin Zn Se ® (so called because it also contains zinc and selenium in addition to melatonin), could help the condition of ARMD.
His thinking was that melatonin could have the capacity to control eye pigmentation and thereby regulate the amount of light reaching the photoreceptors. The unique combination in the tablets could also scavenge hydroxyradicals and help to protect retinal pigment epithelium cells from oxidative/ free radical damage- knowing that this damage is also considered to be a cause for the initiation of ARMD. As Dr. Changxian stated; “Our purpose was to explore a new approach to prevent or treat ARMD.”
The approach was very simple; firstly the patients were diagnosed with ARMD, with both the wet and dry forms included. Then 3 mg of Melatonin Zn Se were given orally each night at bedtime for a minimum of 3 months, with 55 patients continuing on for more than 6 months and some onto 12 and 24 months. The patients were then evaluated at regular periods to measure the extent of their ARMD.
The study reported that at 2-3 months of treatment the visual acuity had been kept stable, (in other words there appeared to be a halting of the progression of ARMD in general). It is worth noting that although this follow up time is not long, this result is already better than the otherwise normal course that could be expected.
For the patients who continued onward past 6 months and onto 12 months of nightly use of 3mg Melatonin Zn Se the change in their fundus pictures were remarkable, (please note the before and after eye pictures presented within this article in figures 1-3).

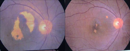
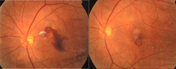
Figure 1(above): The left slide shows the eye of a 67 year old male before treatment, his vision had been deteriorating for 2-years. The right picture shows the same eye 2-months later after daily ingestion of 3mg Melatonin Zn Se tablets. He now has stable visual acuity of 0.3 with remarkable improvements in sub-retinal macular hemorrhage.

Figure 2(above): The left slide shows the eye of a 71-year old female with ARMD who after 6-months of 3mg Melatonin Zn Se daily had her vision improve from 0.2 to 0.4 (as indicated in the right slide).

Figure 3(above): A 58 year old male whose visual acuity at the start (left slide) was 0.2. This improved to 0.4 after 6-months of regular use of Melatonin Zn Se. The sub-retinal hemorrhage and exudate was remarkably absorbed.
At the end of the study, of the original 110 eyes tested only 8 eyes showed more retinal bleeding and 6 eyes more retinal exudates, the vast majority had dramatically reduced pathologic macular changes. This was made self-evident by the patients themselves reporting better vision and general ocular experience with improvements to flare, dryness, clarity and comfort.
Whilst the authors called for larger studies to confirm their findings, they concluded that; “melatonin supplementation among the aged population may be beneficial in preventing, relieving or reducing the severity of ARMD, which is one of the leading causes of blindness in the elderly.” What’s more during the entire period (with some patients taking the 3mg tablets every night for 2-years) no significant side effects were observed.
Dr. Pierpaoli’s views
We spoke with world melatonin expert Walter Pierpaoli, M.D., author of the best seller; the melatonin miracle about this recent new finding, he told us; “Many people are aware of melatonin’s role in jet-lag, or as a potent antioxidant, but we know it is far more than this. Our research with Melatonin Zn Se has highlighted its ability to re-synchronize the endocrine system as well as the circadian rhythms of the wake-sleep cycles. I note that whilst the authors of the ARMD study have discussed the role of melatonin in the eye as being able to control eye pigmentation, to help regulate the amount of light reaching the photoreceptors and other functions in relation to eye structure as possible factors in the benefits for ARMD; I also surmise that through the rebalancing of hormones and improvement of repair functions- through better sleep patterns- that these have also had this significant and profound ability to reverse this condition.”
Dr. Pierpaoli went on to say; “We’ve seen many miraculous reversals of diseases in our patients with Melatonin Zn Se, this latest study showing that it can halt and even reverse age-related macular degeneration is another important highlight of the power of Melatonin Zn Se.”
In the past Dr. Pierpaoli has gone on record to say that melatonin is a very unique molecule, going as far as to announce that; “In my opinion melatonin is one of those molecules that existed before life began and that it has been put to a special use.”
Asked whether there may be further studies regarding ARMD and melatonin, Dr. Pierpaoli said; “We accept that additional studies are needed to confirm these results and its mechanism, however we are delighted that a vital benefit to slow, halt and even reverse ARMD has been discovered. Whatever the outcome of further research into the pathways and actions of the Melatonin Zn Se, the fact remains that thousands, even millions of people can now benefit from this research to protect their vision.”
As one of the world’s leading antiaging researchers, Dr. Pierpaoli has been exposing the benefits of his own and others work with melatonin, particularly at the unique Stromboli conferences in Italy. When asked for a final comment on the ARMD findings he said; “Here is yet another clinical study, this time about age-related macular degeneration, that can be added to the long list of disorders that include cancer, Alzheimer’s, cardiovascular, depression and even aging itself, all of which can be successfully ameliorated with Melatonin Zn Se.”